Stinking Beauty
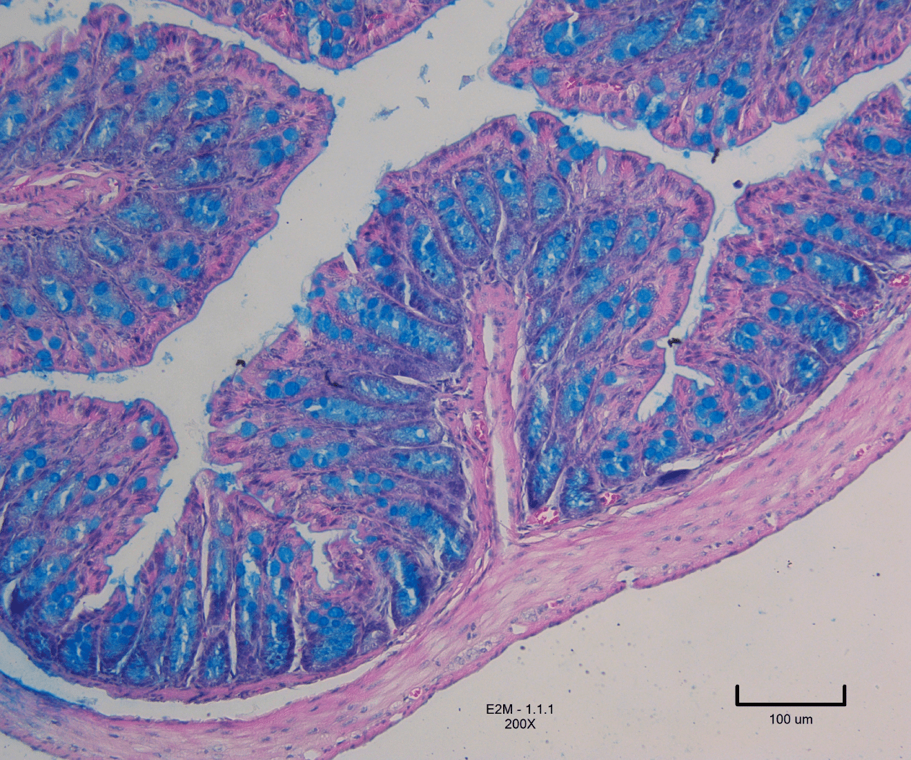
Despite its malodorous reputation, colitis reveals a unique beauty under the microscope. Utilizing Hematoxylin and Eosin with Alcian Blue staining helps us measure disease severity and unravel the complexities of colitis in a mouse model. “Stinking Beauty” embodies the paradoxical nature of research — where amidst the chaos of disease, beauty and insight emerge, inspiring further investigation and discovery!
