Red-Handed: Caught Storing Energy
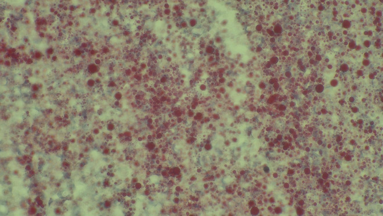
A microscopic image of retroperitoneal fat stained red with Oil Red O. Red colour marks neutral lipids, allowing comparison of lipid numbers in metabolic research.
A microscopic image of retroperitoneal fat stained red with Oil Red O. Red colour marks neutral lipids, allowing comparison of lipid numbers in metabolic research.