The Architecture of Breathing
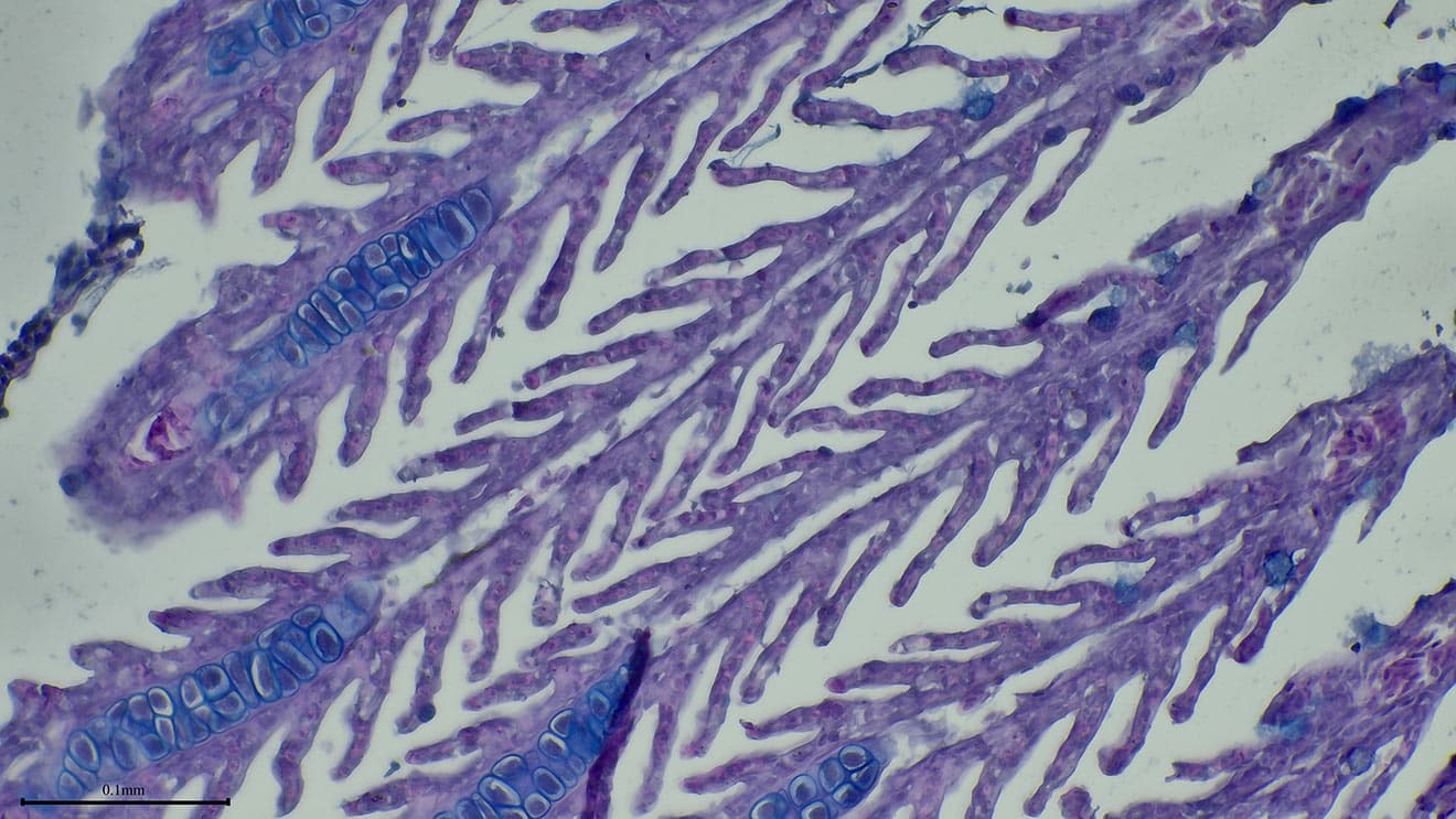
Juvenile brook trout breathe out through their gills. This image shows these gills at 40x total magnification, stained with hematoxylin, eosin and alcian blue. Part of my honours thesis involves analyzing images like these to examine the histological effects that elevated carbon dioxide and temperature have on brook trout gills.
